Invisalign – Danvers, MA

Invisalign Provider logo.

Unlock a Straighter Smile That Inspires Confidence

Request Appointment

If you’re searching for a treatment to straighten your teeth, then Invisalign may be the solution that you’ve been looking for. This modern option is designed to correct misalignments and overbites and, because of its conspicuous nature, has less of an impact on the wearer than traditional metal braces. Our team of professionals at Danvers Aesthetic Family Dentistry is trained in this top-of-the-line orthodontic solution, so if you’re looking for the best place to get Invisalign in Danvers, you’re in the right place. Just contact our office to learn more or schedule an appointment!

Why Choose Danvers Aesthetic Family Dentistry for Invisalign?

  • Dedicated Dental Team with Years of Experience
  • Removable, Discreet Aligners for Greater Confidence
  • Faster Treatment Timelines Compared to Metal Braces

How Invisalign Works

It all begins at your initial consultation with our expert team. Once we’ve established that you’re a good candidate for Invisalign treatment, we’ll begin the process. First, we’ll take an X-ray scan of your mouth to determine your teeth’s current alignment. Then, we’ll run that model through special Invisalign software, which will show you what your teeth will look like at the end of your treatment.

After that, the aligner trays will be manufactured. These are custom-fitting, removable plastic molds that sit on your teeth. Several aligner trays will be made, though the exact number will depend on the severity of your misalignment. If the treatment is more complex, you’ll need more trays. You’ll wear each tray for two weeks and then move on to the next in the set.

Once you’ve gone through all your aligner trays, the treatment will be over, and you will have straight teeth! You may be given a post-treatment retainer to wear at night to ensure that your teeth stay in the right position for the rest of your life.

Who Invisalign Can Help

A close-up of a pair of Invisalign trays.

While severe orthodontic cases may warrant traditional metal braces, Invisalign is still capable of addressing a wide range of orthodontic issues, including:

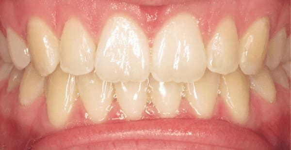
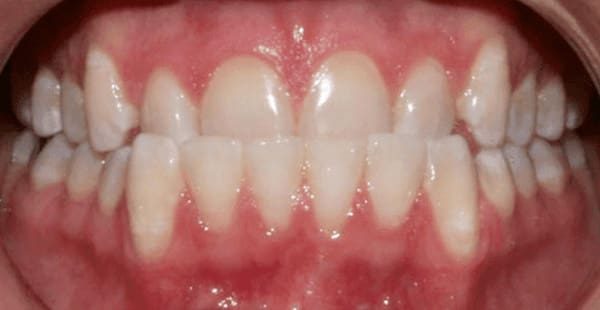
Crowded Teeth

A close-up of a patient with crowded teeth.

Overcrowding is a fairly common orthodontic issue, but one that can impact both your smile’s appearance and functionality. Invisalign is well-suited for addressing mild to moderate cases, ensuring that your smile looks great and remains easy to keep clean.

Gaps Between Teeth

A close-up of a patient with a gap between their front teeth.

Gaps between the teeth are not a purely aesthetic issue; they can also make you more susceptible to cavities and infection. Just as braces can, Invisalign aligners can also bring the teeth closer together to ensure they remain easier to keep clean and looking their best.

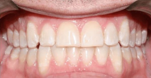
Bite Alignment

A patient with a misaligned bite.

Whether you’re dealing with an overbite, underbite, crossbite, open bite, or some other form of minor bite misalignment, believe it or not, Invisalign can often help. In the long run, this can even help to prevent and alleviate jaw joint pain and ensure that eating and speaking come easily.

The Benefits of Invisalign

A patient holding their Invisalign tray.

Invisalign has set itself apart from other orthodontic treatments because of the effectiveness of the treatment and the positive patient experience. But ultimately, the main draw of undertaking Invisalign treatment is that it can give you confidence in your smile. Once you’ve finished your treatment, you’ll be happy to show off your smile every chance you get! Some other key benefits include:

  • The aligners are fully removable, meaning that your oral hygiene habits will be unchanged.
  • As implied by their name, the aligners are virtually invisible while being worn.
  • You can enjoy all types of food with Invisalign as long as you remove your trays before eating.
  • The treatment timeline is often faster compared to metal braces, in addition to requiring fewer check-ins.

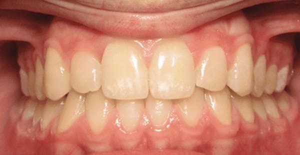
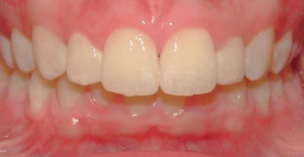
Before/After

Before After
Before After
Before After
Before After
Before After

How Much Does Invisalign Cost?

A patient smiling and holding their Invisalign aligner.

Since everyone’s circumstances are different and Invisalign treatment plans are highly personalized, there is no set cost. Factors such as the severity of your misalignment, whether one or both arches need treatment, and the overall length of your treatment can all contribute to the total cost of care. During your consultation at our office, we’ll be able to provide you with a detailed estimate and breakdown of what you can expect to pay out of pocket.

Invisalign FAQs

Unlike traditional braces, Invisalign clear aligners do not incorporate metal brackets and wires that make them easy to see when you show your teeth. In fact, they are crafted from clear plastic that makes them virtually invisible when worn. However, your appliances will be quite visible when outside of the mouth, so you shouldn’t have any problems finding them if you are careful about where you put them. With proper hygiene, you can keep your clear aligners clean, clear, and discreet by preventing stains. You may need attachments on your aligners to keep your alignment process on track, and, while these can make your appliances more visible, they are made from the same clear plastic, so they are still inconspicuous.

Invisalign attachments and buttons are used when the patient needs more than just their clear aligners to straighten out their teeth, and they are more likely to be necessary in more complex cases. The team at Danvers Aesthetic Family Dentistry will be happy to explain if you need attachments or buttons and which types will be necessary when designing your Invisalign treatment. However, a patient may need additional attachments or buttons due to unforeseen complications or treatment delays.

Invisalign could only address minor misalignments when it was introduced in 1997, but advances in technology have led to the process being refined to help more people. Today, attachments can be fixed to a patient’s teeth so the aligners can have additional leverage and perform more complex maneuvers when straightening out their smile, so Invisalign can now effectively address mild to moderate misalignments. Invisalign attachments are usually bonded to the teeth using tooth-colored resin, which helps them stay inconspicuous. Buttons, on the other hand, are attached to the clear aligners, and they are usually used to anchor elastics that help pull the teeth into healthier alignment. Even if a patient needs attachments or buttons, they’ll still be able to remove their Invisalign clear aligners for meals, beverages, and oral hygiene sessions, and these devices are specially engineered to ensure that they do not harm the teeth in any way.

Invisalign clear aligners are designed to be easily removable so patients can enjoy any foods and beverages they like after they take them out. However, eating while wearing your aligners will expose them to pressure they are not designed to withstand, which can cause the devices to break, and drinking while wearing them can lead to harmful accumulations of sugar and food debris between the aligners and the teeth. Always remove your clear aligners before eating or drinking anything but room temperature liquid water.

New Patient Forms